
Top Rated in Statewide | 5.0 ⭐⭐⭐⭐⭐

Thank you for your interest

$1,000 Off Invisalign or Braces for Adults or Kids
This discount will be taken off your entire treatment plan for clear aligners. Available during the month of September only. Not combinable with any other offers.

VIP Consultation
You'll meet your doctor, plus get complimentary x-high tech 3D rays and a 3D smile scan! This visit is completely risk-free and will give you everything you need to get started with Invisalign!

Free Teeth Whitening
A smile makeover is always better with pearly whites! That's why we are including free whitening for everyone that starts treatment with this promo!

Free Photos, 3D X-rays, and Retainers
Photos, x-rays and Retainers are often the most overlooked expense by patients. The use of a retainer is imperative to maintaining the results of your orthodontic investment!

Low Down Payments with 0% In-House Financing & Insurance Accepted
We understand ortho treatment is an additional household expense. We make it easy to afford by offering low and affordable monthly payments.

100% Love Your Smile Guarantee
We’re so sure that our standards are higher than anyone else’s that when your Invisalign or braces are done, if you’re not absolutely 100% thrilled with your smile, we will work-at no additional charge whatsoever-until you are happy.

Your Award Winning Doctors
Meet Dr. David Vela, D.D.S.
Welcome to our family at All Smiles Dental Center. I am excited to meet and get to know each and every patient that comes through our office. Since I was a child, I always knew I wanted to do something in the health care profession. As I explored my options, I gravitated directly toward dentistry. I truly feel blessed to be able to go to work every day and do something I love. Perhaps my favorite part about dentistry is being able to form personal relationships with patients and interact with them on a regular basis.
Originally from Corpus Christi, Texas, I graduated from Mary Carroll High School. I moved to San Antonio after graduation and obtained my Bachelor of Arts in Biology at St. Mary's University. I completed my dental education with a Doctor of Dental Surgery from the University of Texas Health Science Center San Antonio Dental School. In my opinion, regardless of what you choose as a profession, you can never stop learning. To keep up-to-date with the newest technologies, products and ideas, I attend continuing dental education courses regularly. I have completed over 200 hours of continuing education, from implant surgery and restorations to Invisalign and 6-Month Smiles. This ensures I can continue to provide only the highest level of care for you and your family.
When not consumed by dentistry, family is the biggest part of my life. I have a wonderful wife, Stephanie, whom you will surely get to know at our practice. We have been blessed with a beautiful baby girl, Gabriella, and my amazing son, Luke. They have taught us to love like we never knew possible. I enjoy doing almost anything there is do outside, including all sports, golfing and hunting. My favorite teams are the San Antonio Spurs, Dallas Cowboys and Texas Longhorns. I cannot wait for the opportunity to form a new friendship with you, and I hope you will allow me to help you maintain a functional and beautiful smile!
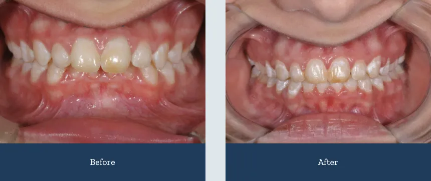
You're one step away from the results you want.
Check out our before & after pictures. Here are a few photos of patients treated by us.




-WORD ON THE STREET
Trusted By Your Friends And Neighbors!





-Know The Facts-
What Is Invisalign?
Invisalign is a desirable alternative to traditional metal braces for straightening teeth. When you choose to use Invisalign, a series of progressive aligners are designed to shape your smile. These smooth and comfortable aligners place a small amount of tension on your teeth, gradually pulling them into the desired position over time. Each aligner in a series gradually progresses to your ideal smile and tooth position.
Am I A Candidate for Invisalign?
Invisalign is best used to treat mild to moderate alignment issues. If your teeth are severely misaligned, if you have one tooth that significantly overlaps another, or if you have serious occlusion problems, you may need metal braces or different cosmetic dentistry procedures to aid in correction. Dr. Krieger can help you address any dental concerns that may prevent you from benefiting from Invisalign and assist you in developing an alternative aesthetic dentistry plan to achieve your desired smile.
Does Insurance Cover Invisalign?
Yes! Many insurance companies cover Invisalign in a similar fashion to how they cover traditional braces. However since dental insurance policies vary widely, our financial coordinator can help you determine the benefits and percentages covered by your insurance. It is possible your insurance will cover only a specific dollar amount for covered benefits.
Is Invisalign The Same As "At-Home" Aligners?
No! When clear aligner therapy is planned and overseen by a doctor, the trays we use are able to perform more advanced and predictable movements. This is because we leverage the use of attachments on your teeth. We will also plan ahead for any future cosmetic work, ensuring that your orthodontic therapy doesn't interfere with your long term goals.
Are There Affordable Payment Plans?
Yes! We provide all sorts of payment plan options that allow our patients to get orthodontic treatment for an affordable monthly rate! Our financial coordinator will walk you through all of your financial options; from upfront payment, in-house 0% payment plans, and financing!
-Only a Few Spots Available This Month-
Click the link below to redeem your voucher for this treatment. Limited one per patient. Not redeemable alongside any other offers. All spots are first-come, first-serve.

📍 Address:
7910 Teak Lane, San Antonio TX 78209